数据产品导航



已选择:
清空全部
数据服务
南山区“商保直赔”就医便捷理赔服务
通过数据赋能,优化现有医疗保险理赔流程,实现南山区“商保直赔”就医便捷理赔服务模式。患者(即被保险人)入院缴纳押金,保险机构根据支付流水进行直赔条件判断,患者授权同意保险机构在线获···
深圳数据交易所
立即咨询
数据产品
企业名录数据通
我们的产品主要输出的是上市企业、专精特新企业、“小巨人”企业信息,金融机构根据不同类型企业信息名录设置对应的贷款额度。并运用在企业在贷前资格审查准入过程中,提供更加准确的审查准入服···
广州数据交易所
立即咨询
数据服务
高端医疗器械产业链
高端医疗器械产业链图谱梳理、利用大数据技术结合专业产业研究院输出全国、各省市、各地区产业链环节,包含环节下企业名单、高价值环节、优弱势环节分析、龙头企业探寻、产业完整度、招商名单推···
西部数据交易中心
立即咨询
数据服务
悦诊·智慧医院患者服务平台
简介山海平智慧医服应用—悦诊,是山海平医疗科技历时3载,根据国家政策指导方向与规范化要求,深入医疗机构场景进行大量调研走访、运营测试,结合腾讯生态与互联网产品视野,打造的一款助力医···
西部数据交易中心
立即咨询
数据服务
医保移动支付经办平台
医保移动支付经办平台帮助医保两定机构申请医保移动支付国家局秘钥
西部数据交易中心
立即咨询
数据服务
店绩商城
店绩是一款面向连锁零售药店的赋能应用,为药店提供o2o销售能力,同时帮助药店做好店员激励、会员管理、智慧药事服务
西部数据交易中心
立即咨询
数据服务
FDIM多模态人体器官数据库
该数据库是多模态人体器官数据库,通过收集和整合多种类型的人体器官数据(包括CT、Mask、三维模型等影像数据)。该数据库提供数据集管理和应用功能,用户可以轻松访问、查询和利用丰富的···
西部数据交易中心
立即咨询
数据服务
混合现实智能手术训练系统
混合现实智能手术训练系统通过Hololens 2设备,将虚拟3D模型与现实环境结合,提供细致逼真的手术场景和沉浸式互动体验,显著提升医务人员的训练效果和手术技能。该系统基于数据三维···
西部数据交易中心
立即咨询
数据服务
FDIM仿真智能培训平台
FDIM仿真智能培训平台通过VR眼镜和红外笔提供沉浸式3D操作体验,使用户能够直观操控和旋转模型,实现互动性强、逼真的医学教学与培训,帮助医学生熟悉患者个性化解剖结构。平台核心技术···
西部数据交易中心
立即咨询
数据服务
生物医药产业链
生物医药产业是21世纪最具创新活力和增长潜力的战略性新兴产业之一,其产业链涵盖基础研究、技术转化、生产制造、流通销售及终端服务等多个环节,具有高技术壁垒、长周期、高投入和高风险的特···
西部数据交易中心
立即咨询
数据服务
心脏健康风险评估数据集
心脏健康风险评估数据集采集分析心脏心脏健康数据并进行风险评估数解读通过数据驱动的心脏病预防策略
西部数据交易中心
立即咨询
数据工具
药智通平台
药智通平台通过整合供应商和采购商信息,提供查询和展示服务,覆盖了医疗产品生产商和采购商的详细信息,包括企业名称、产品名称、产品详情、产品类型、审批机构和获批时间等关键数据维度。这使···
西部数据交易中心
立即咨询
数据服务
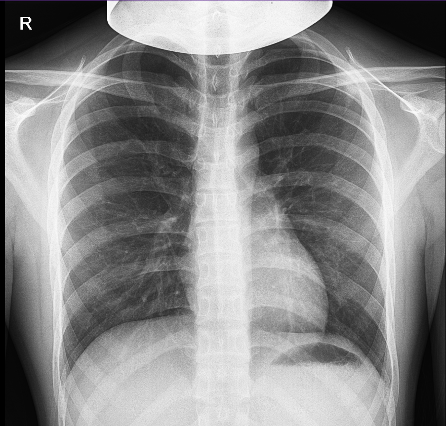
嘉利达医疗DR检查影像数据集
医疗DR检查影像数据集,包含匿名化的患者基础信息(性别、年龄区间、检查部位和检查报告)内容,可应用在影像诊断、医疗、决策支持系统、生成等方面。如:1.影像诊断:AI可以通过深度学习···
广州数据交易所
立即咨询
数据服务
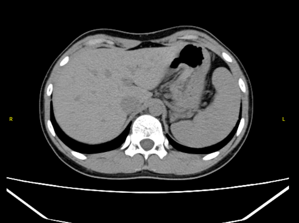
嘉利达医疗CT检查影像数据集
医疗CT检查影像数据集,包含匿名化的患者基础信息(性别、年龄区间、检查部位和检查报告)内容,可应用在医学影像分析、图像生成、图像去噪、图像分割等方面。如:1.医学影像分析:通过深度···
广州数据交易所
立即咨询
数据服务
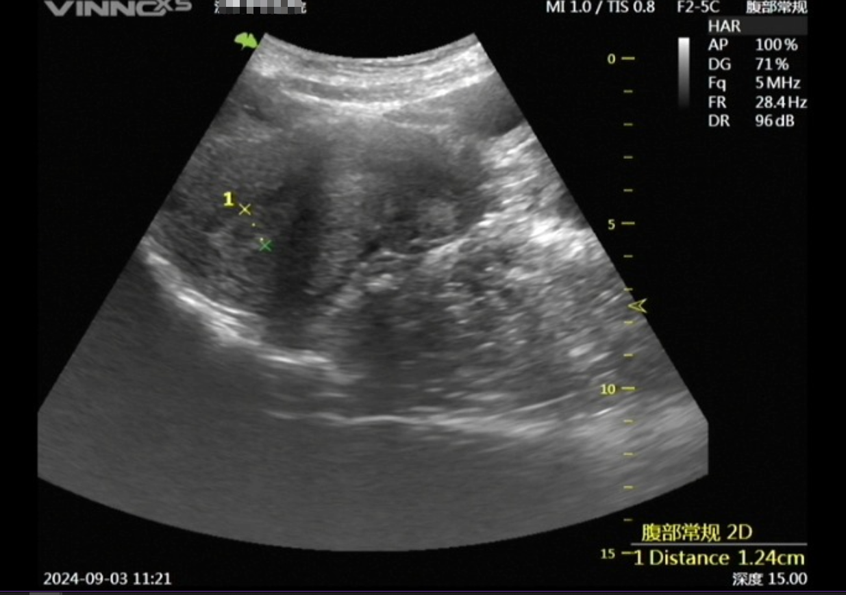
嘉利达医疗US检查影像数据集
医疗US检查影像数据集,包含匿名化的患者基础信息(性别、年龄区间、检查部位和检查报告)内容,可应用在患者预后评估、疾病风险预测、医疗资源优化、医学研究等方面。如:1.患者预后评估:···
广州数据交易所
立即咨询
0755-88605957
微信二维码

扫码关注微信号

微信二维码

扫码关注公众号

咨询服务热线
0755-88605957
数据产品
Data Products
数据交易
Data Exchange
数商入驻
Merchant Entry
关于我们
About Us